Cirugía de Muñeca y Mano
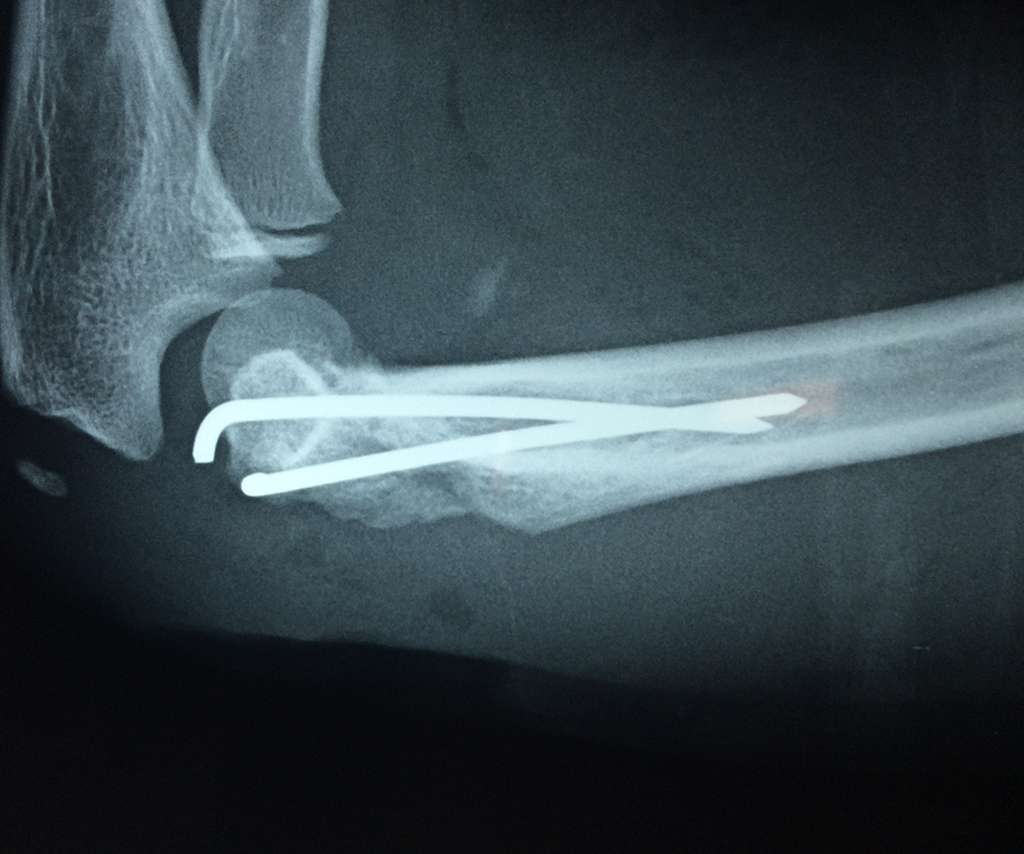
En anatomía humana, la articulación del codo es la que une el brazo con el antebrazo, conectando la parte distal del hueso húmero con los extremos proximales de los huesos cúbito y radio.
La articulación principal que constituye el codo se denomina humero radio-cubital y puede dividirse en dos partes bien diferenciadas, la articulación humero-radial y la humero-cubital.
Por otra parte el cúbito y el radio forman también una articulación entre si en las proximidades del codo, la cual se denomina articulación radio-cubital proximal.
Los extremos óseos se conectan entre si por un conjunto de ligamentos que contribuyen a su fijación y están rodeado por una estructura común que se llama cápsula articular, en cuyo interior se encuentra el líquido sinovial.
En el lenguaje común se le da el nombre de codo a la parte posterior y prominente situada en la unión del brazo con el antebrazo.
