Cirugía de Tibia y Peroné
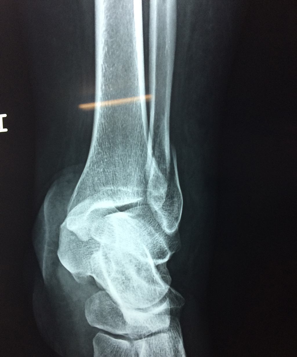
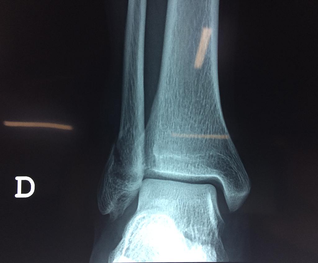
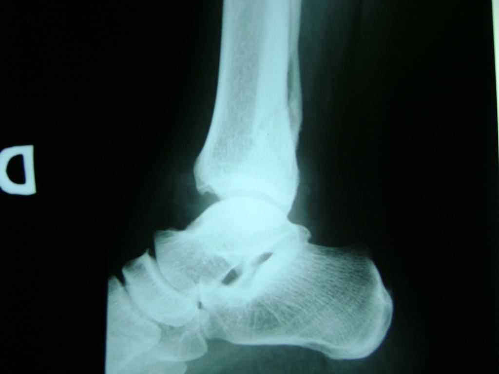
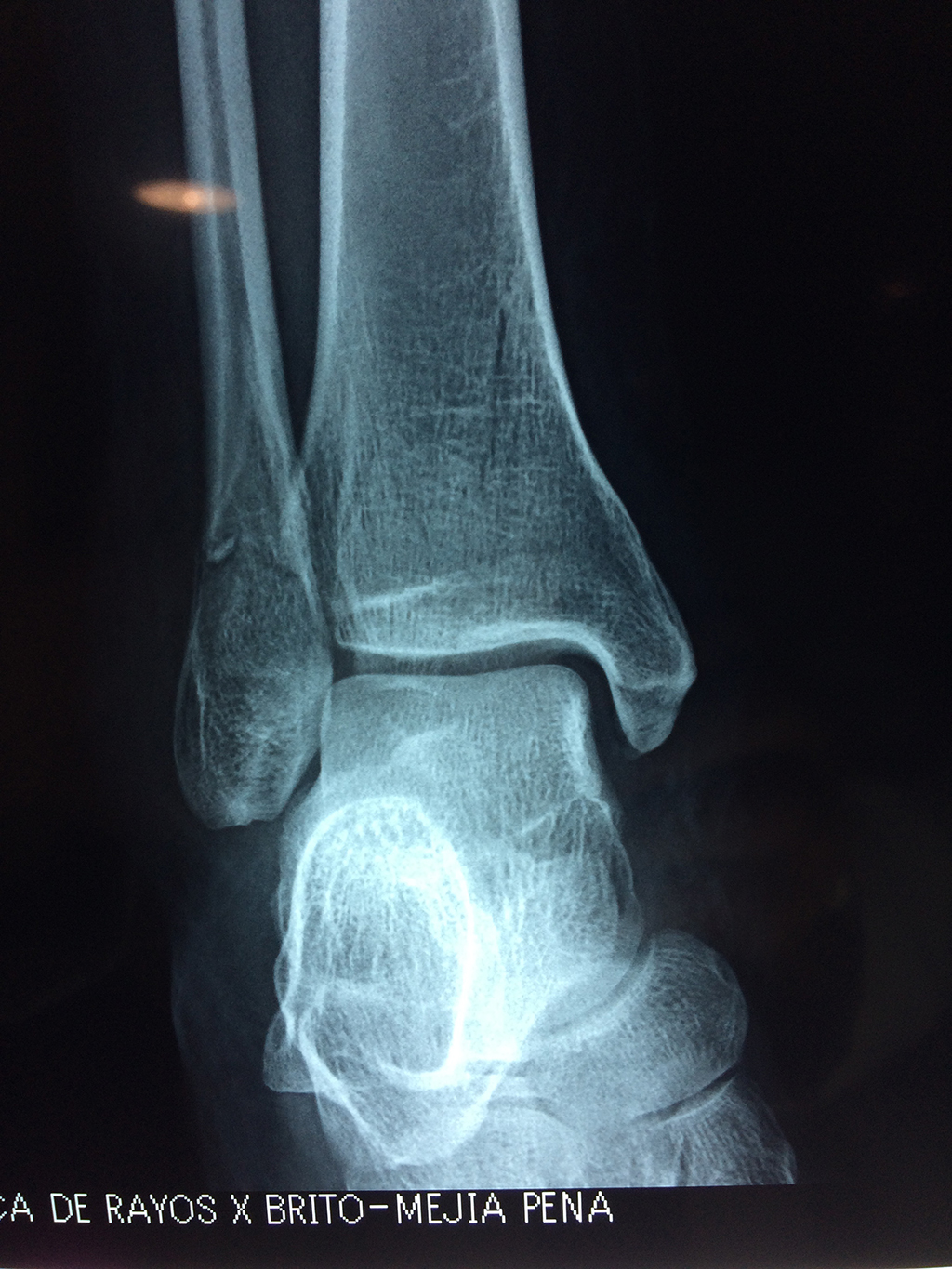
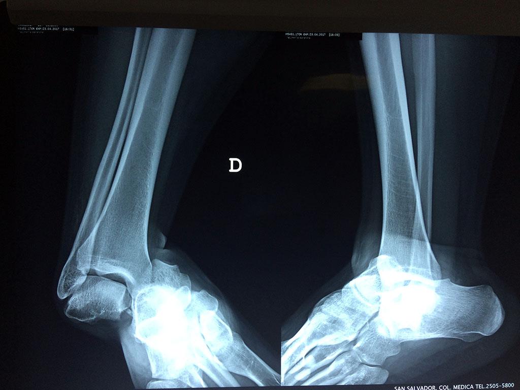
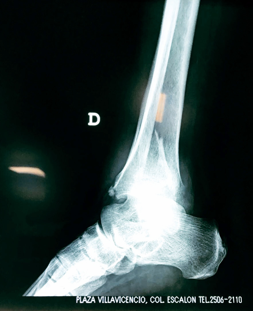
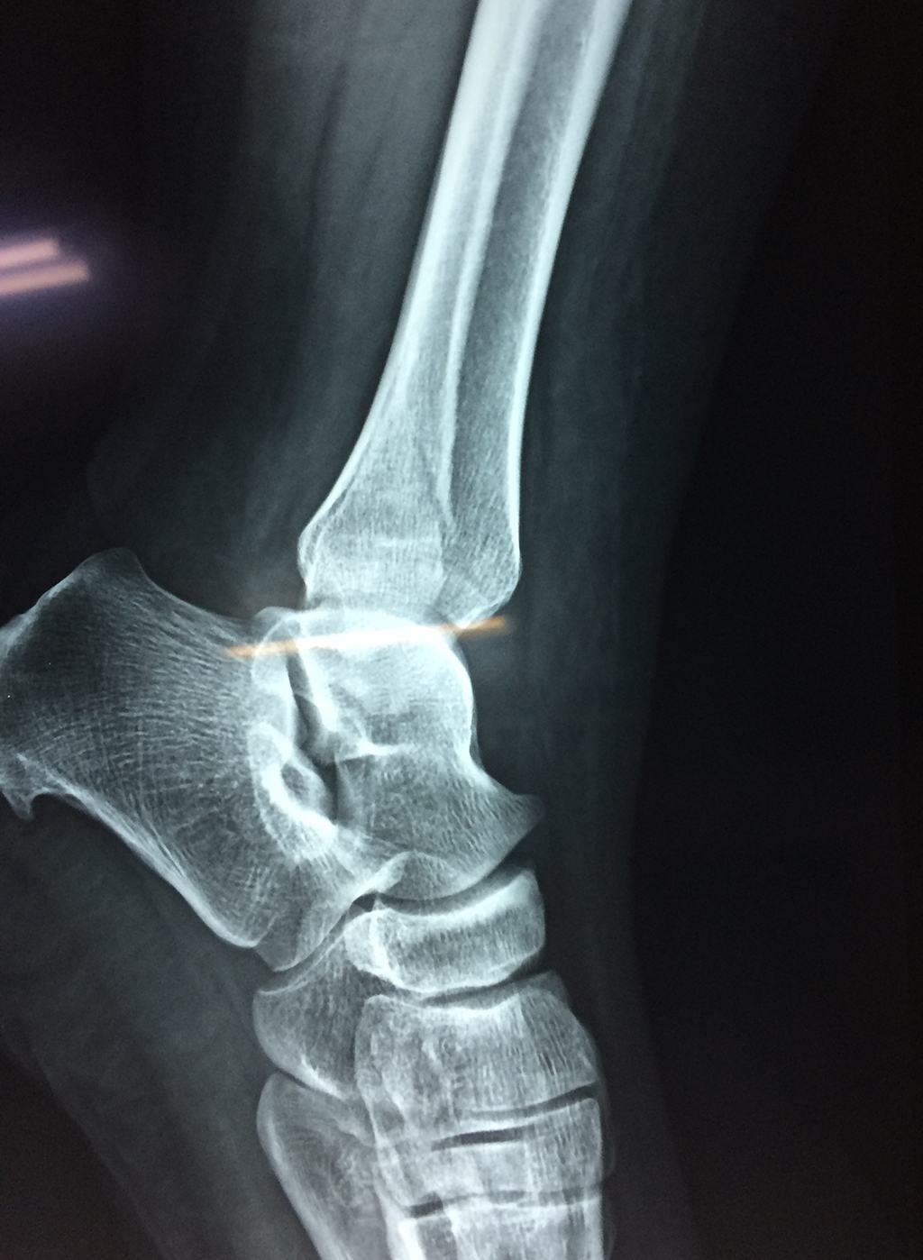
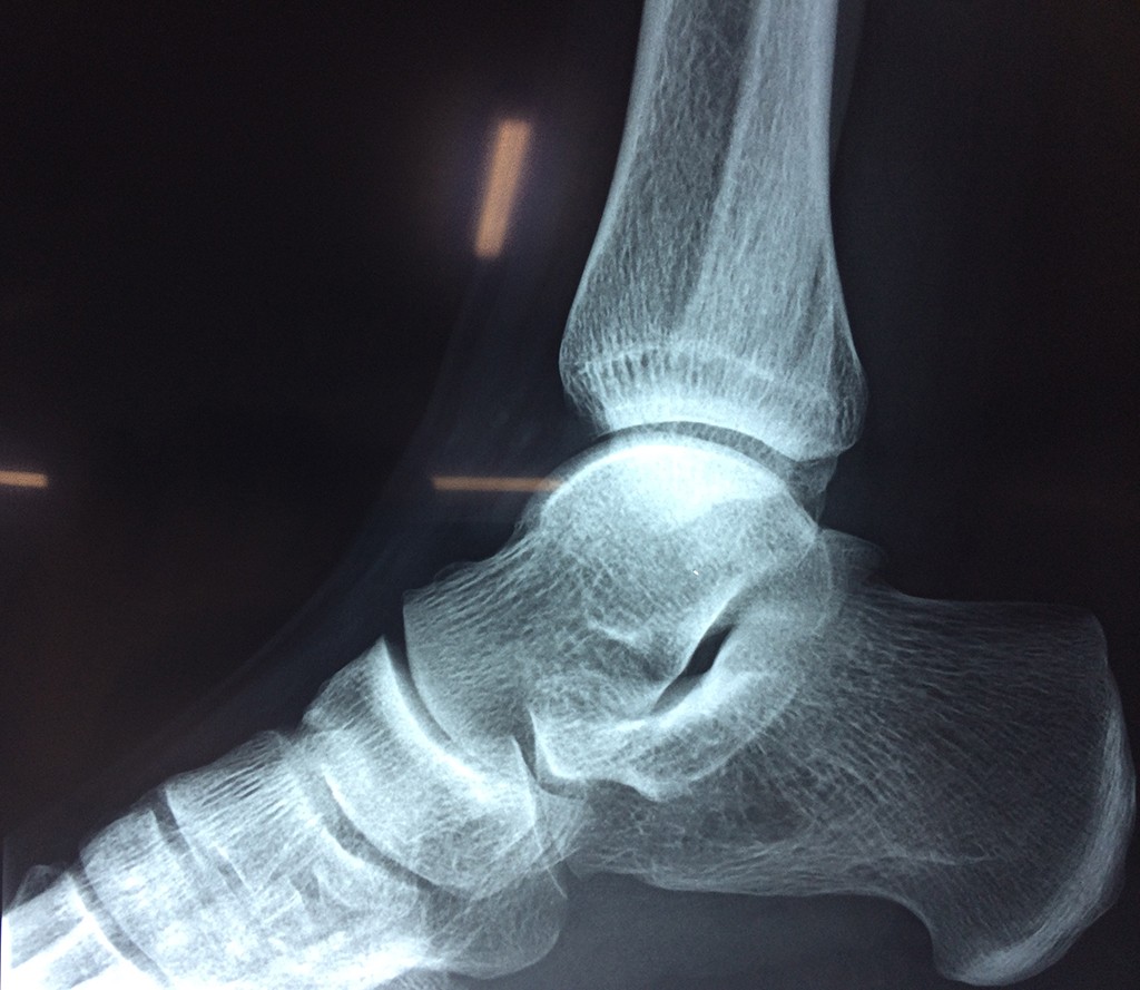
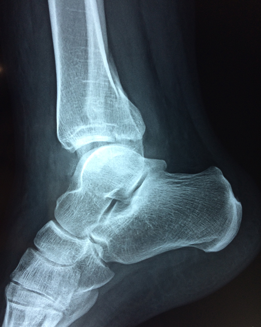
Una fractura de tobillo es la rotura de uno o más de los huesos del tobillo. Estas fracturas pueden ser:
- Parciales (el hueso está sólo parcialmente fisurado, no del todo).
- Completas (el hueso está perforado y está en 2 partes).
- Producirse en uno o ambos lados del tobillo.
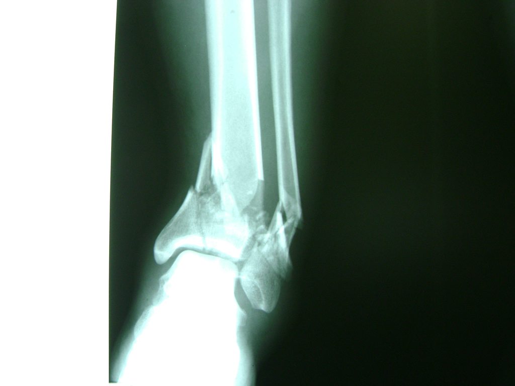
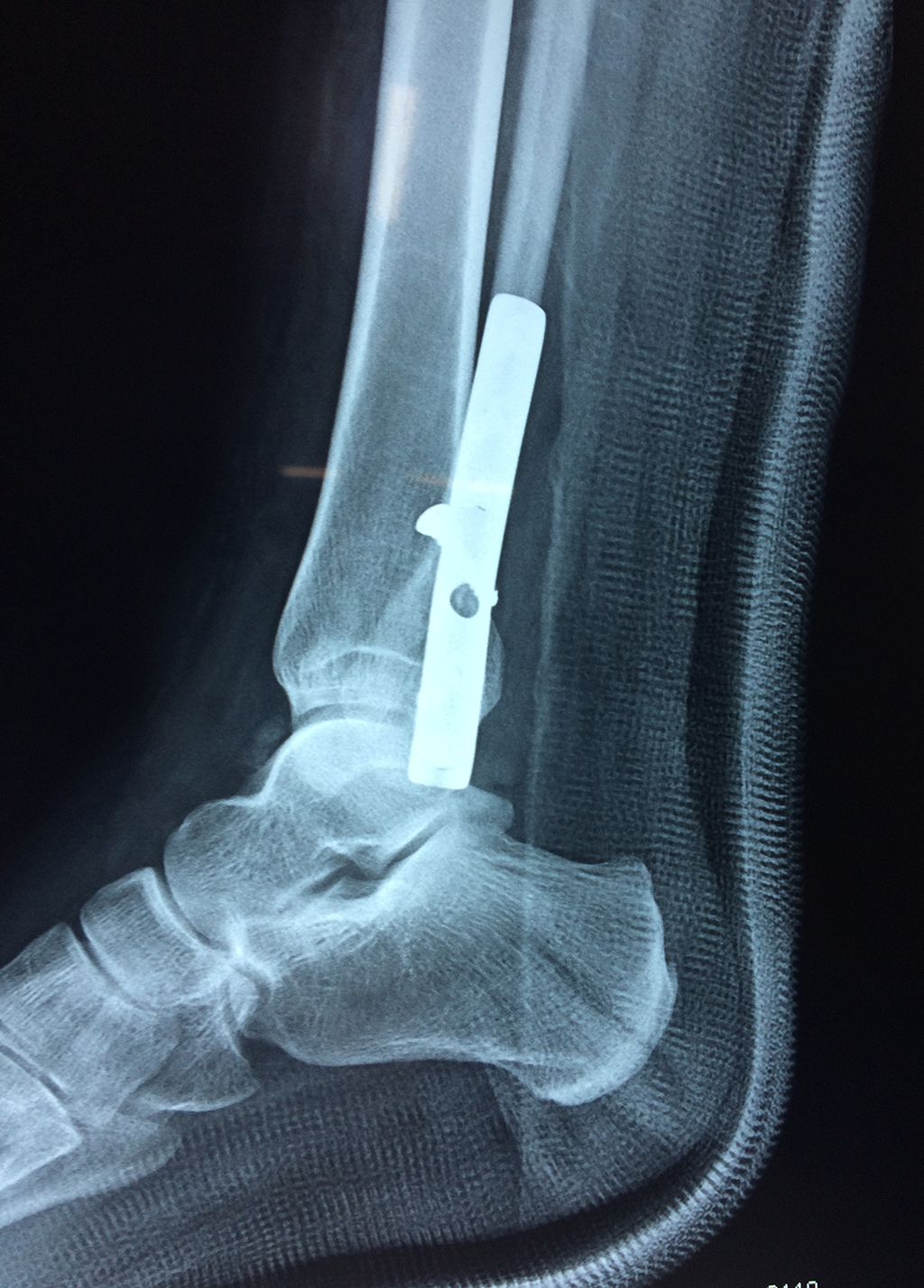
Algunas fracturas de tobillo pueden requerir cirugía si:
- Los extremos de los huesos están desalineados entre sí (desplazados).
- La fractura se extiende hasta la articulación del tobillo (fractura intra-articular).
- Los tendones o ligamentos (tejidos que sujetan los músculos y los huesos entre sí) están rotos.
- El médico cree que sus huesos probablemente no sanen apropiadamente sin cirugía.
- El médico considera que la cirugía puede permitirle una recuperación más rápida y confiable.
- En los niños, la fractura involucra la parte del hueso del tobillo donde el hueso está creciendo.
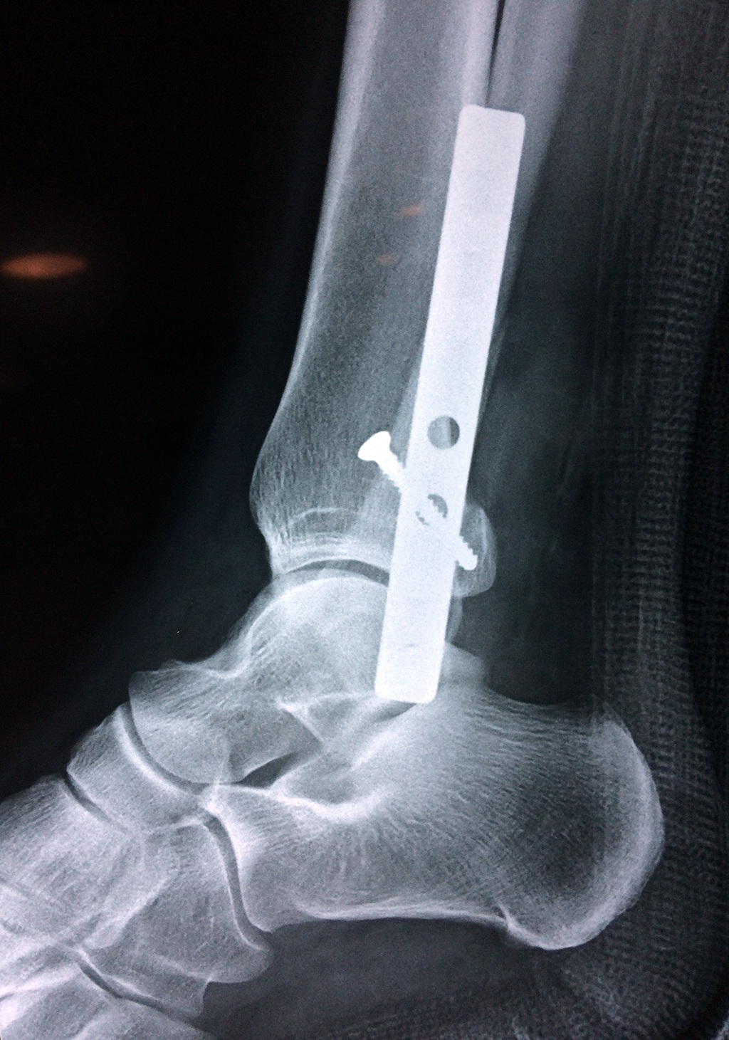
Cuando se necesita cirugía, es probable que esta implique el uso de clavijas de metal, tornillos o placas para sostener los huesos en su lugar mientras la fractura se consolida. Los elementos de soporte pueden ser temporales o permanentes.
De esta forma nos ponemos a tus órdenes, somos conocedores de estos tipos de problemas, visitarnos será un gusto el poderte ayudar. cualquier inquietud puedes escribirnos al correo Esta dirección de correo electrónico está siendo protegida contra los robots de spam. Necesita tener JavaScript habilitado para poder verlo.
Powered by Phoca Gallery
