Clavícula
Aunque cada uno de estos huesos puede fracturarse por separado, normalmente la rotura es una lesión que se produce de forma conjunta
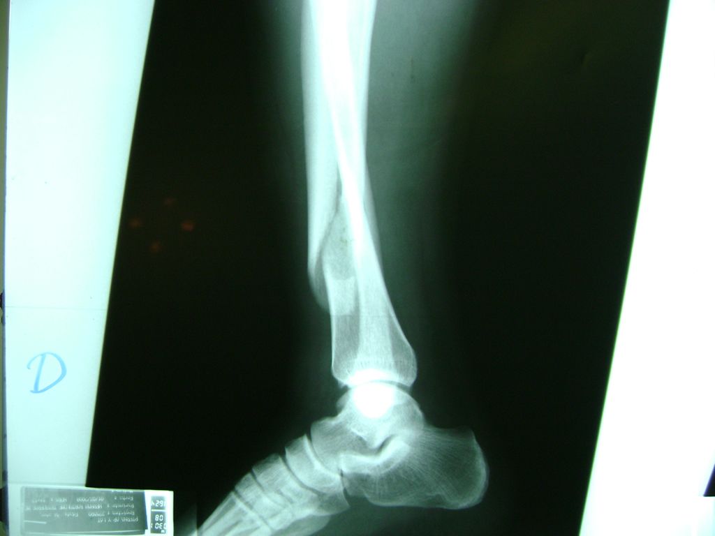
La mayor parte de las roturas implican a la parte proximal del hueso (parte del hueso próximo a la rodilla) o a la parte distal (parte del hueso cerca del tobillo).
Debido a la fina cobertura de piel que recubre la tibia y el peroné, las fracturas generalmente son abiertas, es decir, el hueso roto rasga la piel, atravesándola. Las fracturas de tibia y peroné generalmente se producen por un fuerte impacto o torsión.
De esta forma nos ponemos a tus órdenes, somos conocedores de estos tipos de problemas, visitarnos será un gusto el poderte ayudar. cualquier inquietud puedes escribirnos al correo Esta dirección de correo electrónico está siendo protegida contra los robots de spam. Necesita tener JavaScript habilitado para poder verlo.
